Contenidos
- ¿Por qué tengo manchas marrones en los dientes?
- Manchas dentales interiores
- Tipos de manchas en los dientes
- Las manchas de dientes en los niños ¿Qué las ocasiona?
- Qué puede producir manchas marrones en los dientes
- ¿Cuáles son las recomendaciones para eliminar las manchas superficiales en los dientes?
- Algunas recomendaciones para mantener la dentadura sin manchas
- ¿Cómo mantener los dientes libres de manchas?
¿A quién no le gusta tener una sonrisa bonita? De lo contrario, nadie se cepillaría o cuidaría de su higiene bucal. Cada individuo tiene su blanco característico y en la mayoría de los casos los dientes no tienen el mismo tono. Sin embargo que no los veamos totalmente blancos, no quiere decir que no estén saludables e higiénicos. Su color particular es un tono algo blanco. Las manchas marrones en los dientes pueden ser un problema estético y además ser una advertencia de una patología mayor. Por ello, es indispensable prestar atención a los dientes de forma habitual para notar si hay problemas en la dentadura.
Hay manchas de manchas. Algunas son fáciles de tratar y en aproximadamente 45 minutos se desaparecen. Otras, por otra parte, demanda de varias sesiones y procedimientos. Las manchas en la dentadura pudieran representar o no un problema de salud. Además generan preocupación en las personas. Haciendo indispensable la visita al odontólogo. Pero, en esencia son imperfecciones que aparecen en la superficie de los dientes. Específicamente a partir de una variación directa en el esmalte dental y debido a una acumulación de sarro y placa bacteriana.
También te puede interesar: ¿Cómo tener los dientes blancos?
¿Por qué tengo manchas marrones en los dientes?
Si deseas conocer el origen de las manchas marrones en los dientes. Te recomiendo acudir a un odontólogo, con el fin de que te valore para hallar la solución más apropiada de acuerdo al caso.
Como se ha comentado inicialmente, los motivos de la aparición de manchas en la dentadura pueden ser varios. Empezando por factores externos, que van desde los malos hábitos de vida como la mala higiene oral. Hasta ser fumador/a o apostar por el consumo de ciertos alimentos o medicinas.
Manchas dentales interiores
Las manchas interiores se llaman así porque se crean cuando la dentina -que es la (estructura interna de cada diente)-, se oscurece. Lo que hace que la mancha esté en la parte interna del diente. Algunas de las causas principales del origen de estas manchas son algunos alimentos que las ocasionan o el tabaquismo.
Existen diferentes colores de manchas en los dientes. Estas pueden ser amarillas, blancas y de color marrón. Siendo estas últimas las más frecuentes y unas de las más preocupantes para quienes las padecen
Tipos de manchas en los dientes
Existen varios tipos de manchas. Pero de acuerdo al espesor, a la forma, al color, y a otros aspectos, suelen ser de 2 modos. Manchas sobre los dientes y manchas dentro de los dientes.
- Las manchas sobre los dientes o manchas extrínsecas se encuentran en la superficie de los dientes. Son señales de que se ha almacenado una sustancia. Bien sean restos de comida o bacterias. Y, por lo general, suelen aparecer por toda la superficie del diente o únicamente cerca de la encía. Son fáciles de remover con el cepillado, aunque en ocasiones es necesaria una limpieza dental.
- Las manchas por dentro del diente, pueden afectar al esmalte o a la dentina. Siendo más grave cuando afecta la capa más profunda del diente. Debido a que con frecuencia se suscitan por una mal formación de los dientes desde niños. O por la presencia de una enfermedad en los dientes o por algunas medicinas.
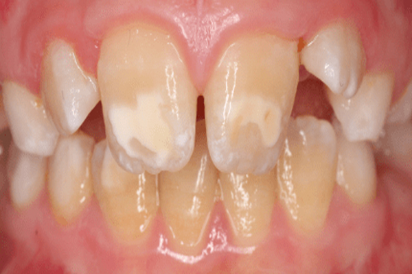
Las manchas de dientes en los niños ¿Qué las ocasiona?
Estas manchas pueden salir al nacer el diente y presentan color blanco o amarillo. El tamaño es desigual y aparece en el momento del proceso de mineralización del diente. Por lo que también se le conoce como hipo mineralización o hipoplasia del esmalte. Básicamente, porque los dientes tienen menos esmalte. Cada vez son más niños los que adolecen de esta deficiencia.
El origen de esta alteración de las células del esmalte, reside en una infección, en desnutrición o en un golpe. Así como también en la falta de vitamina D y en ocasiones, se desconoce la causa. Este problema, incluso, puede presentarse desde el embarazo.
Las manchas pueden aparecerse en los dientes de leche o en los permanentes. Salen antes de los 3 años de vida. Pero es sumamente importante que sean revisadas por un odontólogo. Motivado a que estos dientes corren un mayor riesgo de verse afectados.
No obstante, también surgen cuando se ingiere mucho hierro, aunque, por lo general, se van quitando poco a poco. Pese a ello, debes tener presente que existen antibióticos, como las tetraciclinas que producen manchas en los dientes. Por eso, las mujeres en estado de gestación no pueden consumir este antibiótico.
Qué puede producir manchas marrones en los dientes
La mayoría de los pacientes preocupados, preguntan en su chequeo, si las manchas que hemos referido salen fácilmente. Y la respuesta a esa interrogante es positiva. Claro que se pueden quitar las manchas de la superficie dental y en este artículo te diremos los detalles.
Quiero hablarte, particularmente, de las manchas marrones que se forman en los dientes. Pero también de cómo inciden los siguientes factores en la aparición de las mismas.
Alimentos con colorantes naturales y artificiales
Las manchas marrones en los dientes pueden estar provocadas por diversos componentes. Como los que están presenten en ciertas comidas y bebidas con alto contenido de colorantes. Es el caso del café, del té, del vino, de las salsas oscuras y de ciertas frutas como los arándanos. Y, por supuesto, no podemos dejar por fuera el consumo sostenido del tabaco y de cigarrillos.
Tratamientos de ortodoncia
Algunos tratamientos de ortodoncia como los brackets metálicos. Hacen más difícil llevar a cabo una correcta higiene bucal. Favoreciendo la acumulación de placa bacteriana y de microrganismos entre las bandas del aparato, especialmente cuando es fijo. Aunado a ello, las manchas de este tipo de se hacen más visibles cuando se retiran los brackets. O una vez finalizado el tratamiento. De hecho, en muchos casos aparecen caries a como consecuencia de los aparatos.
Medicamentos y antibióticos puntuales
Hay manchas marrones en los dientes que son provocadas por la tetraciclina. Un tipo de antibiótico muy usado entre los años 60’s y 70’s en España. Que le imprime un color poco estético a la dentadura haciendo que aparezcan desde tonos amarillos, marrones y hasta en grises.
Hipomineralización incisivo-molar (MIH)
Todas aquellas manchas que aparecen con un estilo que va desde el color blanco a amarillo y que culminan en imperfecciones de color marrón. Aún son de origen desconocido. Pero sus síntomas más notables son una alta sensibilidad en la pieza dental afectada y la destrucción del esmalte de forma muy rápida.
Mala higiene bucal
Este es el principal motivo por el que aparecen manchas en los dientes. La placa bacteriana empieza siendo de una coloración amarilla clara y va cobrando un color como anaranjado. Hasta terminar tornándose marrón, cuando se convierte en sarro. Sin embargo, la excelente noticia, acerca de este tipo de manchas, es que la solución está en tus manos.
De igual forma, el hecho de no mantener una correcta higiene bucodental puede facilitar que se acumulen manchas superficiales en los dientes.
¿Cuáles son las recomendaciones para eliminar las manchas superficiales en los dientes?
Independientemente del origen de las manchas en los dientes. El procedimiento correctivo para este problema puede ser totalmente diferente y depende de lo que considere el odontólogo.
En unos casos, como ya se ha indicado, la única opción viable será la colocación de carillas de porcelana. En otros casos, se tratarán de forma casual caries unciales antes de continuar con el procedimiento de micro abrasión. Y si este resulta insuficiente, por lo general, se aplica un método de blanqueamiento posterior.
La manera más eficaz de eliminar las manchas de los dientes va de la mano con el origen del problema. En múltiples ocasiones pensamos que ahorrarnos dinero o tiempo buscando “la solución pronto” desaparecerán las manchas más rápido. Sin embargo, lo que verdaderamente logramos es todo lo contrario, sin obtener resultados reales y con una mayor probabilidad de dañar más las piezas dentales.
Para tener una sonrisa nuevamente libre de tensiones. Te sugerimos un tratamiento que consiste en realizar una limpieza dental profesional. Un procedimiento en el que se eliminan las manchas superficiales de la pieza dental con un aparato de ultrasonidos (Perioscan). Acompañado por una pasta que se coloca en un cepillo de profilaxis. Aunque si se encuentran las manchas entre dientes, en forma de franjas negras. Se procede a pasar una suave tira de pulido dental que las removerá por completo.
La dentadura manchada puede apagar una hermosa sonrisa. Haciendo que te sientas muy apenado. Pero afortunadamente para todo existe remedio y en la mayoría de los casos es más fácil de lo que crees.
Los posibles tratamientos para las manchas de los dientes son:
Blanqueamiento dental profesional
Esta es una solución para ti si tienes manchas que en la higiene dental no han podido ser eliminadas.
El blanqueamiento dental profesional es un gel específico que oxida las manchas desde adentro. Es decir, que actúa sobre la dentina (la parte interna que recubre el esmalte en los dientes). Y no sobre el esmalte, por lo cual éste no es dañado.
Es realizado después de una higiene dental como la que te hemos descrito anteriormente. Aunado a ello, con el tratamiento en clínica te dan un kit para que también puedas hacerlo en casa. Estos tratamientos combinados actúan poco a poco y profundizan más sobre las manchas.
Higiene profesional
Esta es una muy buena solución, si lo que necesitas es eliminar manchas superficiales en tus piezas dentales. Esto quiere decir manchas en el esmalte de los dientes.
Una higiene dental profesional puede tardar entre 45 minutos a una hora y debe ser ejecutada por un odontólogo. Esto con el fin de no maltratar el esmalte. Durante el chequeo el especialista revisará tu boca y te comentará los hábitos a mejorar en relación a la higiene bucodental.
También te ayudará a eliminar todo el sarro acumulado a través de ultrasonidos. Y borrará por completo manchas superficiales de tus dientes con una pistola de bicarbonato o con un air flow. Así que te recomiendo que busques higienista dental que ofrezca este servicio.
Carillas dentales
Esta es una opción perfecta si deseas eliminar las manchas por tetraciclinas, manchas blancas. O si tienes una pieza dental sin vida por un golpe.
Las carillas dentales son pequeñas láminas de porcelana o composite que se ubican sobre los dientes o la pieza dental afectada. Logrando cambiar su color y su forma. Además, en estos tiempos es posible corregir cualquier tipo de caso que se presente. Inclusive los más difíciles, lo explicamos con un ejemplo.
La disposición de carillas se hace actualmente con un protocolo de poca invasión de la pieza dental. Es decir, que se desgasta lo menos posible el diente para instalarlas y hasta sin necesidad de abrasión dependiendo de diferentes factores.
Algunas recomendaciones para mantener la dentadura sin manchas
Los alimentos y sustancias que manchan los dientes son: el vino (blanco y tinto), el café, las bebidas energéticas y los refrescos. Al igual que las gaseosas, las bebidas azucaradas, el té, las frutas moradas y las verduras de color fuerte. Como las cerezas y la remolacha. Además, de productos como la salsa de soja, el vinagre de Módena, los caramelos, el tabaco y la clorhexidina.
Los alimentos aliados para tener una sonrisa blanca son: las frutas, las verduras, la leche y el yogur. Especialmente las frutas y verduras que poseen textura fuerte y fibrosa. Como la manzana, la zanahoria, el apio, las espinacas, la coliflor y las judías verdes. Aparte de los lácteos que cuentan con ácido láctico y que ayudan a segregar más saliva. Mientras mejoran el estado de las piezas dentales a través del calcio.
No obstante, es preciso acotar que la mayoría de las manchas dentales se solucionan con un buen cepillado. Aunque en ocasiones se requiere un arreglo. Pero lo más importante es prevenir para que en la medida de lo posible se pueda curar. Además, es imprescindible visitar periódicamente al odontólogo. Sobre todo, para detectar a tiempo el problema. Varias comunidades autónomas de España cuentan con programas de prevención y de salud bucodental.
¿Cómo mantener los dientes libres de manchas?
- La zona más habitual en la que aparecen es entre los dientes.
- Tienen un color marrón oscuro que destaca sobre el esmalte.
- Se pueden controlar con una buena higiene oral.
- Reducir el consumo de los alimentos que tienen mayor poder de tinción. Tales como el café y el té, así como el tabaco, que son los principales causantes.
- Mantener una correcta higiene bucodental. Un buen cepillado dental junto con hilo y una limpieza profesional una vez al año. Te permitirán mantener a las indeseadas manchas a raya.
- Y, por último, pero no por ello menos importante. Utilizar pastas dentales blanqueadoras te ayudarán a prevenirlas.















